Image Requirements for Accurate CoTreat Analysis
Understand which images to upload, how recent they should be, and what they help identify.
CoTreat provides a prioritised summary of 230+ clinical observations based on the images uploaded for each patient.
To get the most accurate and useful insights, it’s important to upload a variety of recent images that provide good coverage of all areas of the mouth. This allows CoTreat to deliver evidence-based analysis with confidence.
This guide explains the image types, recommended recency, and what each image supports, so you know exactly what to include.
Why image variety matters
Different image types reveal different clinical insights.
Using a mix of radiographs and clinical photos allows CoTreat to:
-
Detect a wider range of conditions
-
Prioritise findings more accurately
-
Reduce gaps caused by missing or outdated images
No single image type provides a complete picture on its own.
Recommended image types and recency
The below outlines the recommended image types and how recent they should be for reliable analysis.
Radiographs
-
OPG (≤ 3 years)
Supports analysis of bone levels, wisdom teeth, and periapical findings -
Bitewings – left & right (≤ 2 years)
Used to assess caries and bone loss -
Periapical X-rays (≤ 2 years)
Supports periapical and bone-related observations

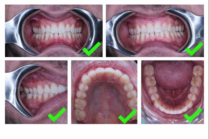
Clinical photos
-
Arch photos (≤ 1 year)
Used to assess:-
Wear and erosion
-
Gingival recession
-
Alignment and spacing
-
Upper, lower, and lateral views help ensure complete coverage.

Images not required
-
Full face photos
These are not required for CoTreat ’s clinical analysis and do not contribute to observation scoring.
Best practice tips
-
Upload the most recent images available
-
Aim for coverage across all quadrants
-
Include both radiographs and clinical photos where possible
-
Don’t delay uploading, analysis improves as soon as images are available
Summary
For the most accurate CoTreat reports:
-
Upload a mix of radiographs and clinical photos
-
Ensure images meet the recommended recency
-
Focus on coverage rather than volume
Providing the right images upfront helps CoTreat surface clearer, more meaningful insights for both your team and your patients.